
|
光干涉斷層掃描儀
|

- 為視網膜和青光眼疾病的診斷和分級提供全面的解決方案
- 利用基于高清SLO的眼球追蹤功能實現精確的圖像采集
- OCT靈敏度可選,確保對介質渾濁患者的圖像采集
- 高清測量功能,可獲得多至120張疊加的高清圖像
- 利用廣域正常眼標準數據庫(9 x 9 mm)進行青光眼分析
- 高分辨率AngioScan血流OCT圖像

基于SLO的眼球追蹤功能
利用基于高清SLO的眼球追蹤功能實時補償眼球運動,可實現更精確的掃描,確保更高的圖像質量和盡可能的再現性。
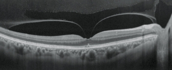
視網膜分析
OCT靈敏度可選
根據病歷,通過選擇適宜的OCT靈敏度,以確保對介質渾濁患者的圖像采集。
高清追蹤plus功能
高清追蹤plus功能可追蹤無意識的眼球運動,在SLO圖像上保持相同的掃描位置,確保精確的圖像采集。此功能可獲得多至120張疊加的高清圖像。
青光眼分析
青光眼進程

長眼軸正常眼標準數據庫(可選軟件)
詳細信息可在長眼軸正常眼標準數據庫頁面獲取。
AngioScan(可選軟件)
詳細信息可在AngioScan頁面獲取。

功能性多模影像
可通過將OCT的各種形態學檢查影像與NIDEK微視野視野計MP-3采集的視功能檢查數據疊加成各種功能性多模影像。

注意:產品外觀及規格根據各個國家法規可能有所不同,恕不在此說明。


